瑞德西韦真成特效药了!重生的美国新冠患者,
网传很久的新冠特效药瑞德西韦今天终于被官方“盖章”认证了。美国国立卫生研究院过敏与传染病研究所所长福奇亲自在白宫宣布:在经过临床试验后,瑞德西韦在减少患者康复时间上有显著效果,但是对于降低死亡率收效甚微。福奇说,使用了瑞德西韦的病人康复时间从15天缩短到了11天,提升了31%。
《纽约时报》报道说,美国食品与药品监督局FDA可能很快宣布,紧急授权使用瑞德西韦治疗新冠。
今天要跟大家分享的这个故事,是一位参与了瑞德西韦临床试验的新冠患者,他叫贝洛(Jim Bello), 49岁,是一位律师,同时还是一名运动员。
贝洛一家五口:妻子和三个孩子
贝洛至今都并不知道在瑞德西韦的临床试验中,他是属于真正服用了瑞德西韦的实验组还是没有服用有效药物的安慰组。
但在呼吸机上的32天,贝洛走了一趟鬼门关,除了各种“神药”,他还依靠了先进的医疗器械维持生命。最终究竟是什么让他死里逃生?先让我从两个月前讲起。
3月7日,贝洛在新罕布什尔州的卢恩山远足,他的家人在那里有一处公寓,而他也会不定期的在那儿滑雪,回来之后,他就被高烧击倒了。
在连续几天的发烧之后,他的咳嗽越来越严重,同时胸部也感到呼吸紧张。等到了3月13日,当他因严重呼吸困难到波士顿医院就诊时,医生立即判定他得上呼吸机。
当时贝洛问自己的妻子说:“如果我死了呢?”在向她保证自己会努力活下来后,她回忆道:“当时,他对我眨眼的方式与我们初次见面时,完全一样。”
当晚贝洛就被转院到麻省总医院(Mass General),成为首位插管的冠状病毒患者。他的首诊医师库里尔博士说,他的病情看起来并不复杂并且尽在掌控之中。
与很多新冠患者一样,贝洛受到ARDS(急性呼吸窘迫综合征)困扰:他的肺部已经全部发炎并且充满液体,而血液中的携带氧气的微小气囊变成了无效的“小气球”。
呼吸机可对供氧量精准把控并持续调整:氧流量,通气频率,通气量与通气压力。医生的工作则是给予足够的正压来保持气道开放,同时确保压力不会过大致使肺部过度膨胀产生进一步损伤。
已经被插管的患者则会被深度麻醉,以确保他们不会主动呼吸,而是由呼吸机来接管。
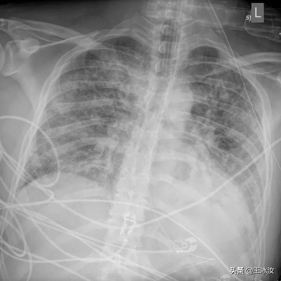
这是我见过最糟糕的胸片
贝洛在麻省总医院的第一天时,一切都很乐观,呼吸机的氧气占比为65%,低于他插管前所需的氧气量。等到第二天时,氧气占比进一步降低至35%。这是一个好兆头,因为最低设置为21%,相当于室内空气中氧气的占比。
“他实际上似乎正在好转,”肺部和重症监护医师库里尔说。但是随后他的病情莫名其妙地恶化了,呼吸机所提供的氧气被加大到最大值100%...
在胸部拍片检查中,他的肺部看起来和旁边的骨头一样白,整个肺部已经没有了含气的地方(肺内实变之后含气量减少,密度增高,颜色变白),他的医生库里尔(Paul Currier)说:“这是我见过最糟糕的胸部拍片”。
3月14日,贝洛的第一张肺部X光,肺部充满液体和炎性细胞
贝洛躺在重症监护室,虽然已经处于深度镇静和药物麻痹的状态,若有细微触碰造成他身体有移动,都会造成他的血液氧气水平降到危险线以下。医生们担心他心跳骤停,并且他们清楚这一旦发生,他们就无法再复苏他了。
医生们已经尝试了一切方法来救助,包括使用尚在实验中的药物,还有一种通过机器压迫他的腹腔,以改善他的通气,以及最先进的生命维持机。医疗团队甚至考虑采取“孤注一掷”的方式,但是这种方式会让他断氧30秒钟,而这半分钟就足以让他丧命。后来这种方法真的用上了。
用医疗小组主治医师Yuval Raz的话来说:“即使我们想尽一切办法来救他,但是任何的尝试都可能会杀了他。”
18日凌晨2点左右,贝洛的血氧突然骤降到危险级别,令当时整个的医疗团队惊慌失措。他们立即尝试了一种新的动作:他们小心地在腹部按摩,以最大程度地降低心脏对肺部的压力,从而减轻呼吸道压力。
瑞德西韦目前的药效还有待判定
医生已经开始使用药物进行治疗:包括特朗普总统所提倡的抗疟疾药物羟氯喹,但由于这个药对肝脏的影响被停用。
另外,贝洛不放弃任何一线希望,因此他参加了瑞德西韦的临床试验,成为了一只小白鼠。但是这一切尝试没有任何效果,贝洛命悬一线。医生最终觉得采用最后一项选择:“换血”。(ECMO体外膜肺氧合)
依靠ECMO续命
一个8人医疗小组将大管子插入贝洛的脖子和腿上,然后另一端连接到专用的心肺旁路机。ECMO将血液从患者体内吸出,通过充氧器输送血液,然后将其泵回体内。但ECMO专家必须不断确保通过机器循环的血量不能太低或太高,以免患者积水过多,血管也不会萎缩。
ECOM-图中非本人
麻省总医院ECMO部的医学总监拉兹医生说:“ ECMO不是一种良性的疗法。即使取得好结果,也会造成很多的风险。这些风险包括可能的出血并发症和中风。ECMO无法解决任何问题,但是他可以让你活着。”
贝洛的肺部非常僵硬,以至于他的“肺顺应性”(衡量肺脏弹性的指标)只有个位数。健康人中,肺顺应性通常在100以上,而在严重呼吸衰竭的人中大约为30。他的肺只能应付勺子大小体积的呼吸。拉兹医生说,血液开始从试管周围渗出,因此稀释剂被停止了。
虽然医生已经放出了大绝招,但是贝洛胸片越来越糟。他第一次拍的胸片虽然显示出明显的积液和炎症,但还可以看出肺脏影像,3月18日,胸片所见恶化,但肺的轮廓仍然可见。到3月20日时,他的肺部表现基本上就是我们所说的“大白肺”(完全实变,肺影全部变白)
与所有新冠病人的家人一样,贝洛的妻子Kim承受着巨大的压力和煎熬。她辞掉自己的兼职销售工作,每天通过连线来了解丈夫的最新病情,同时还要照顾三个孩子:13岁的哈德利(Hadley)和11岁的双胞胎莱利与泰勒。她和大儿子哈德利也出现了诸如胸闷等轻微症状,但是医生认为没有必要对他们进行冠状病毒测试。
贝洛的妻子Kim
到了3月27日,也就是贝洛上ECMO的第9天,情况依然没有任何改善。鲁宾大夫给Kim打电话解释情况的严重性:如果贝洛进入心脏骤停状态,医生们认为心肺复苏意义不大,贝罗女士同意不做心肺复苏操作。
Kim含着泪恳求鲁宾医生不要放弃。鲁宾向她保证,他们会继续努力,但是,她说:“说实话,我们所有的评估都是他可能会死掉。”
回光返照
第二天早晨,3月28日,医疗队拔掉了贝洛麻醉药物,看他是否可以用较少的药物来治疗。奇迹发生了,护士发现“他醒了,你可以看到他正在睁开眼睛。”当对病人做提示时,他握住护士的手,对她提的问题作出肢体的回答。当护士说他们要调整他的位置时,他竖起大拇指。
在麻醉药停止使用几个小时之后,护士将贝洛独自一人留在病房里,而她们从外面监视着他。当时他的身体缓慢移动,但这种运动增加了他的血管压力。他的情况非常不稳定,无法承受这样的举动。之后他的血氧水平开始暴跌。
护士沃克尔与呼吸科医师Texeira立即穿着防护装备冲了进去。沃克尔回忆道:“我们救了他,这是一个意志坚强的人,但是他的肺很糟糕,我们无法让他醒着。目前我们必须重新使他麻醉,这才能从根本上维持他的生命。”
医生最后选择在ECMO上插入另一根管子来排出更多的液体,但这种做法会短暂地暂停通过机器输入氧气。重症监护的医师鲁宾说:“他是如此脆弱,以至于我们觉得,如果暂停ECMO30秒钟,他就会死掉。”
生离死别的“最后一次”探望
轮班结束后,沃克尔护士说:“我一直都在哭,我感到无法挽救这个人的绝望超出了我所能理解的范围。”
平日里看起来可爱的走廊门
鲁宾博士给Kim打电话,建议Kim当天晚上来医院探望丈夫,这或许是她最后一次见到自己爱人。医院的走廊令人毛骨悚然,Kim穿上防护装备,走进他的房间。
她来到贝洛的病床前,告诉他 :“家人有多需要他,他必须与之抗争,他不能离开我们。”本来见面只允许15分钟,但最终她与丈夫一起待了三个多小时。
奇迹出现
第二天,贝洛还活着。更好的消息是,在三天后,胸片显示他的左肺炎症减少。
4月4日,在贝洛躺在ECMO上的第17天,呼吸治疗师托德·莫佛(Todd Mover)建议他准备好离开机器。第二天,贝洛就摘掉了ECMO的管子。但是依然需要呼吸机来支持,不过呼吸机所提供的氧气含量也开始逐渐降低,同时医生开始减少麻醉剂与镇静药物。
几天后,一个里程碑出现了,在沃克尔护士与Kim 视频时,她看到丈夫可以踢腿了。她哭了:“我爱你,请给我一个吻,”贝洛因为麻药而昏昏欲睡,同时嘴里插着呼吸管,不过他还是微微动了动手,送给妻子一个飞吻。
全家人视频连线
一周后,在一次全家人的视频聊天里,贝洛的孩子说:“嗨,爸爸,是哈德利和泰勒。我们好想你。莱利也和我们一起使用视频。我们只想说继续战斗,你会没事的,我们都很爱你。”贝洛因为呼吸管而无法说话,但抬起头,短暂睁开眼睛,略微摇动手。Kim回复他三个字:“Love,Love,Love”
即使贝洛情况有所好转,但医生们仍然不确定他是否能够挺过这一关。通常情况下,使用呼吸机的时间越长,人存活的几率就越低,极少有患者在长期插管后会康复。医生也不确定任何药物是否有效。
走出至暗时刻
4月14日,贝洛从呼吸机上断开,并开始了32天以来自己的第一次呼吸。这次,贝洛从医院拨通视频电话,他看到妻子将孩子们围在了一起。他低声说了一个月以来给家人的第一句话:“I Love You !”。
当贝洛离开重症监护室时,所有的医务人员走到常规楼层,在医院走廊里排成一排,为他鼓掌。贝洛感动的说,自己愿意成为医护人员们的律师。他说:“由于你们,我今天还活着。”
如今贝洛已经能够吃饭和走路了,他为妻子感到骄傲,并渴望与家人在一起。很快贝洛就出院回家了。
ECMO是美国最昂贵,需要最多人力和物力来维持治疗的仪器,涉及到了充足的血源供应,药物,专业医疗人员来操作设备。即使在美国,也并非所有医院都有ECMO,全美6000多家医院,只有264家医院可以操作ECMO.
在其他国家,也给重症患者使用了ECMO. 包括来自武汉的初步数据显示,11.5%的新冠患者需要ECMO,而最后使用ECMO的患者六个人中只有一个幸存。另一项研究显示,迄今为止全球275名接受了ECMO的患者中,大部分人还在靠ECMO维持生命,只有28%的人恢复并且出院。
除了ECMO,库里尔医生说,如果说贝洛的妻子那个晚上来医院探视,对贝洛的病情起到了帮助,他一点都不会惊讶。他说:“她在床边呆了三个小时,这是最黑暗的时刻,你不能低估这样的变化有多大。”
贝洛非常幸运,拣了一条命回来。特效药,呼吸机,ECMO不知道是哪个环节把他从死神手上夺回人间。也许,这一次是爱战胜了病毒?


